Quienes Somos
En Angelito Guardián nos dedicamos al cuidado integral de niños y adolescentes que enfrentan enfermedades hematológicas y oncológicas. Nuestro compromiso va más allá del tratamiento médico: acompañamos a cada pequeño paciente y a su familia con calidez, respeto y esperanza.
Creemos que cada niño merece recibir atención integral desde los 0 hasta los 19 años, con amor, profesionalismo y un trato personalizado. Por eso, combinamos la excelencia médica con un enfoque humano, ofreciendo diagnósticos precisos, tratamientos actualizados y un entorno seguro y empático para acompañar a cada paciente en su proceso de recuperación.
En el Consultorio Pediátrico Especializado “Angelito Guardián” nuestra misión es proporcionar atención médica especializada y compasiva a niños y adolescentes con enfermedades hematológicas y oncológicas.
En el Consultorio Pediátrico Especializado “Angelito Guardián”, nuestra visión es ser líderes en el tratamiento y cuidado de enfermedades pediátricas hematológicas y oncológicas.
El campo de la pediatría es muy apasionante para mí. Por ello, decidí especializarme en esta área, brindando atención médica a niños, niñas y adolescentes hasta los 19 años de edad.
Realicé mis estudios de especialidad y subespecialidad en Buenos Aires, Argentina, incluyendo un posgrado en la Universidad de Buenos Aires (UBA).
Dentro de la pediatría clínica, opté por las subespecialidades de Hematología y Oncología, lo cual me permite brindar una atención integral y resolver problemas de salud desde ambas perspectivas. Esto facilita diagnósticos más completos y efectivos.
Nuestros Servicios
La pediatría es la base de nuestro consultorio. Nos dedicamos a la atención integral del niño desde el nacimiento hasta la adolescencia. Evaluamos el crecimiento, desarrollo y prevención de enfermedades, ofreciendo un acompañamiento constante a las familias.
Más Información
La hematología pediátrica se enfoca en el estudio y tratamiento de enfermedades de la sangre en niños. En Angelito Guardián, abordamos condiciones hematológicas con tecnología avanzada y un enfoque humano.
Más InformaciónLa oncología pediátrica se especializa en el diagnóstico y tratamiento del cáncer en niños. Sabemos que atravesar una enfermedad oncológica es un reto para toda la familia, por eso ofrecemos un entorno empático, seguro y acompañamiento continuo.
Más Información
Contamos con procedimientos de alta complejidad para lograr un diagnóstico certero:
Consultas
Lunes:
16:00 pm – 18:00 pm
Martes:
16:00 pm – 18:00 pm
Miércoles:
16:00 pm – 18:00 pm
Jueves:
16:00 pm – 18:00 pm
Viernes:
16:00 pm – 18:00 pm
Atención de emergencia las 24hrs
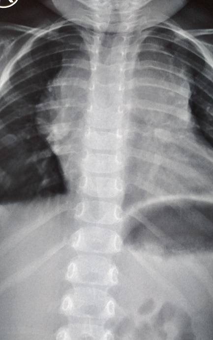
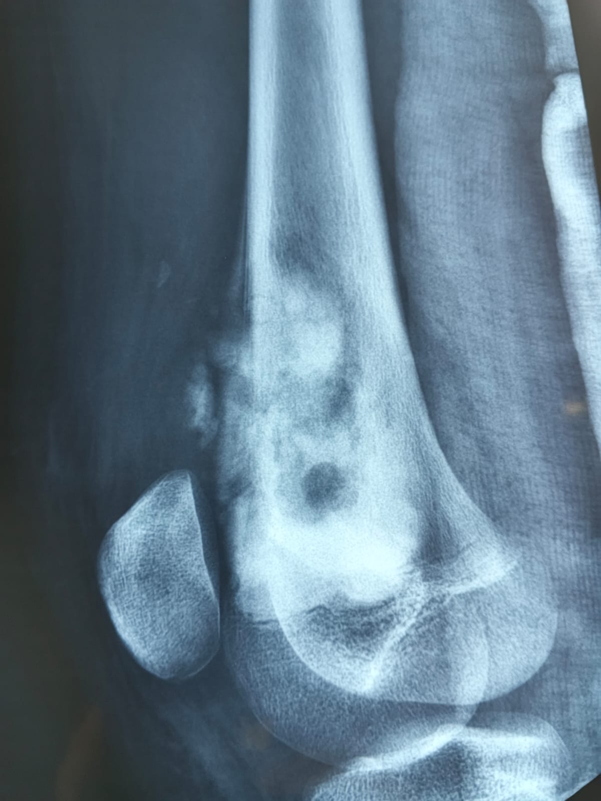
GALERÍA
Testimonial
Desde que llevamos a nuestra hija a Angelito Guardián, notamos una gran diferencia. La doctora fue muy atenta, nos explicó todo con claridad y trató a nuestra pequeña con mucho cariño.
Mi hijo fue diagnosticado con un problema hematológico y llegamos con mucho miedo. En Angelito Guardián no solo encontramos atención médica de calidad, sino también contención emocional.
El consultorio es limpio, ordenado y acogedor. Lo más importante: los médicos son verdaderos especialistas en pediatría y oncología infantil. Estamos muy agradecidos por el seguimiento constante a nuestra hija.
Mi nieto tuvo un problema de coagulación y fue tratado con mucho cuidado y profesionalismo. Gracias a Angelito Guardián, ahora vive con normalidad. El consultorio es un verdadero ángel guardián para las familias.
Ver cómo cuidan a Camila en cada etapa de su tratamiento oncológico me da mucha tranquilidad. La atención en Angelito Guardián va más allá de lo médico: es humana y esperanzadora.